Aller au contenu
Accueil
NOS EXAMENS
IRM
Scanner
Mammographie
Echographie
Radiographie
Minéralométrie
L’infiltration lombaire
Dacryoscanner
ACCÈS A VOS EXAMENS
Dr. Mehdizade
Formation continue
Abdominal
Mammaire
Musculosquelettique
Système nerveux central
Thorax
Pathologies / Maladies
Book
Contact
Vos questions
Accueil
NOS EXAMENS
IRM
Scanner
Mammographie
Echographie
Radiographie
Minéralométrie
L’infiltration lombaire
Dacryoscanner
ACCÈS A VOS EXAMENS
Dr. Mehdizade
Formation continue
Abdominal
Mammaire
Musculosquelettique
Système nerveux central
Thorax
Pathologies / Maladies
Book
Contact
Vos questions
Pathologies/maladies
informations destinées au grand public
Formation continue
Abdominal
Mammaire
Musculosquelettique
Système nerveux central
Thorax
Splénomégalie
____ savoir plus sur la maladie ____
Épididymite
____ savoir plus sur la maladie ____
Cholécystite
____ savoir plus sur la maladie ____
Fibrose hépatique
____ savoir plus sur la maladie ____
Arthrose
____ savoir plus sur la maladie ____
Dysphagie
____ savoir plus sur la maladie ____
Sténose aortique
____ savoir plus sur la maladie ____
Névralgie du Trijumeau
____ savoir plus sur la maladie ____
Névralgie d’Arnold
____ savoir plus sur la maladie ____
Chondrocalcinose
____ savoir plus sur la maladie ____
Calcification de l’artère coronaire
____ savoir plus sur la maladie ____
Polypes gastriques
____ savoir plus sur la maladie ____
Kyste ovarien
____ savoir plus sur la maladie ____
Goître thyroïdien
____ savoir plus sur la maladie ____
Périarthrite calcifiante
____ savoir plus sur la maladie ____
Kyste de Bartholin
____ savoir plus sur la maladie ____
Gynécomastie
____ savoir plus sur la maladie ____
Bicuspidie aortique
____ savoir plus sur la maladie ____
Athérosclérose
____ savoir plus sur la maladie ____
Maladie de Basedow
____ savoir plus sur la maladie ____
Ostéopénie
____ savoir plus sur la maladie ____
Tendinopathie
____ savoir plus sur la maladie ____
Hernie hiatale
____ savoir plus sur la maladie ____
Hématome sous-dural
____ savoir plus sur la maladie ____
Anévrisme de l’aorte thoracique
____ savoir plus sur la maladie ____
Névrome de Morton
____ savoir plus sur la maladie ____
Colique néphrétique
____ savoir plus sur la maladie ____
Cholestase
____ savoir plus sur la maladie ____
Anévrisme de l’aorte abdominale
____ savoir plus sur la maladie ____
Le nerf sciatique
____ savoir plus sur la maladie ____
Diverticulite
____ savoir plus sur la maladie ____
Sclérose en plaques (SEP)
____ savoir plus sur la maladie ____
Dissection de la carotide
____ savoir plus sur la maladie ____
Thrombose veineuse profonde
____ savoir plus sur la maladie ____
Embolie pulmonaire
____ savoir plus sur la maladie ____
Pancréatite
____ savoir plus sur la maladie ____
Appendicite
____ savoir plus sur la maladie ____
Cancer du poumon
____ savoir plus sur la maladie ____
Bursite
____ savoir plus sur la maladie ____
Lombalgie
____ savoir plus sur la maladie ____
Méningiome
____ savoir plus sur la maladie ____
Ostéoporose
____ savoir plus sur la maladie ____
Capsulite rétractile
____ savoir plus sur la maladie ____
Cancer du sein
____ savoir plus sur la maladie ____
Cancer colorectal
____ savoir plus sur la maladie ____
Infarctus
____ savoir plus sur la maladie ____
Capsulite rétractile
____ savoir plus sur la maladie ____
Enthésopathie calcifianteÂ
____ savoir plus sur la maladie ____
Glande thyroïde
____ savoir plus sur la maladie ____
Ténosynovite de De Quervain
____ savoir plus sur la maladie ____
Fracture du scaphoïde
____ savoir plus sur la maladie ____
Fracture de fatigue
____ savoir plus sur la maladie ____
Lésion tumorale
____ savoir plus sur la maladie ____
Hernie Discale
____ savoir plus sur la maladie ____
Épiphysiolyse
____ savoir plus sur la maladie ____
Epicondylite
____ savoir plus sur la maladie ____
Angiomyolipome
____ savoir plus sur la maladie ____
Nécrose aseptique de la hanche
____ savoir plus sur la maladie ____
Descellement prothèse de hanche
____ savoir plus sur la maladie ____
Fracture branche ilio-pubienne
____ savoir plus sur la maladie ____
Conflit fémoro-acétabulaire
____ savoir plus sur la maladie ____
Méningiome
____ savoir plus sur la maladie ____
La Fasciite Calcanéo-Plantaire
____ savoir plus sur la maladie ____
Dysphasie ou Lésion Punctiforme du Gyrus Angulair
____ savoir plus sur la maladie ____
Kyste de la glande pinéale
____ savoir plus sur la maladie ____
Troubles Statiques – Perte d’équilibre chez les seniors
____ savoir plus sur la maladie ____
Globe Vésical
____ savoir plus sur la maladie ____
 Lithiase
____ savoir plus sur la maladie ____
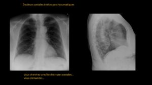
 Douleur Costales
____ savoir plus sur la maladie ____
 COVID-19
____ savoir plus sur la maladie ____
 Syndrome du défilé thoracique
____ savoir plus sur la maladie ____
 Dissection avec thrombose pariétal
____ savoir plus sur la maladie ____
  Avulsion osseuse
____ savoir plus sur la maladie ____
 Fracture du calcanéum
____ savoir plus sur la maladie ____
Formation continue
Musculosquelettiques
Présentation clinico- radiologique 01
Lire la suite »
Musculosquelettiques
Présentation clinico- radiologique 02
Lire la suite »
Abdominal
Présentation clinico- radiologique 03
Lire la suite »
Musculosquelettiques
Présentation clinico- radiologique 04
Lire la suite »
radiologie-Thorax
Présentation clinico- radiologique 05
Lire la suite »
radiologie-Thorax
Présentation clinico- radiologique 06
Lire la suite »